此商品无价格,无法添加至购物车内,系统已自动发起询价,
询价单号 点击跳转查看 X
	询价单号 点击跳转查看 X
					
								
							
						
										
										
				Order NO. D120822
				
			
			
					兔抗IL2多克隆抗体
				
			
			| 编 号 | 规格 | 库存 | 目录价(¥) | 您的价格(¥) | 数 量 | 
| D120822-0025 | 25 ul | 现货 | 500 | 500 | |
| D120822-0100 | 100 ul | 现货 | 1600 | 1600 | |
| D120822-0200 | 200 ul | 现货 | 2500 | 2500 | 
属性
| Background: | This gene is a member of the interleukin 2 (IL2) cytokine subfamily which includes IL4, IL7, IL9, IL15, IL21, erythropoietin, and thrombopoietin. The protein encoded by this gene is a secreted cytokine produced by activated CD4+ and CD8+ T lymphocytes, that is important for the proliferation of T and B lymphocytes. The receptor of this cytokine (IL2R) is a heterotrimeric protein complex whose gamma chain is also shared by IL4 and IL7. The expression of this gene in mature thymocytes is monoallelic, which represents an unusual regulatory mode for controlling the precise expression of a single gene. The targeted disruption of a similar gene in mice leads to ulcerative colitis-like disease, which suggests an essential role of this gene in the immune response to antigenic stimuli. [provided by RefSeq, Sep 2020] (The background information is obtained from official databases and does not represent the product information.) | 
| Applications: | ELISA, IHC | 
| Name of antibody: | IL2 | 
| Immunogen: | Recombinant protein of human IL2 | 
| Full name: | interleukin 2 | 
| Synonyms: | IL-2; TCGF; lymphokine | 
| SwissProt: | P60568 | 
| ELISA Recommended dilution: | 5000-10000 | 
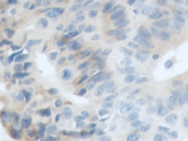
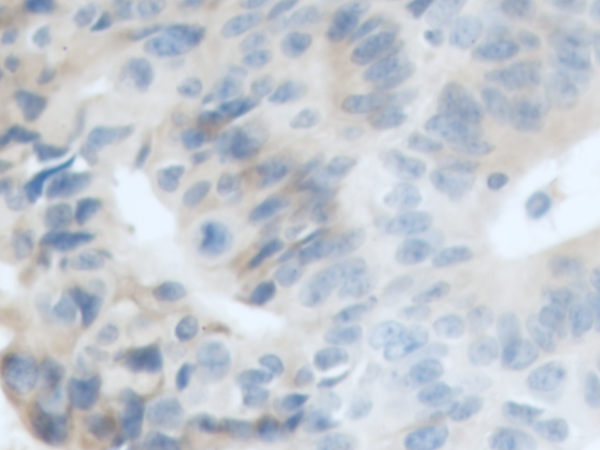
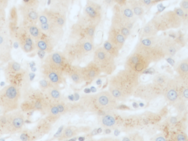
| IHC positive control: | Human liver cancer and Human colorectal cancer | 
| IHC Recommend dilution: | 50-200 | 
选择结算方或PI
				
				
					申请授权记录
					申请授权
				
				
			
				
											
											
											
											
											
										
										
										
										
										
										