此商品无价格,无法添加至购物车内,系统已自动发起询价,
询价单号 点击跳转查看 X
询价单号 点击跳转查看 X
Order NO. D120916
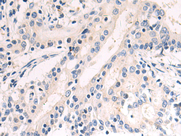
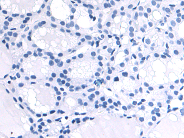
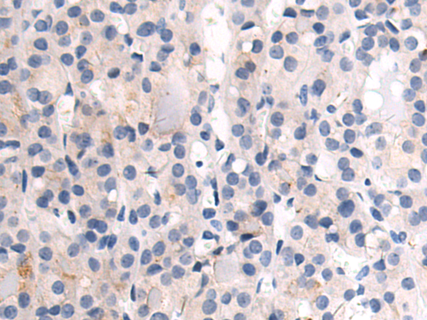
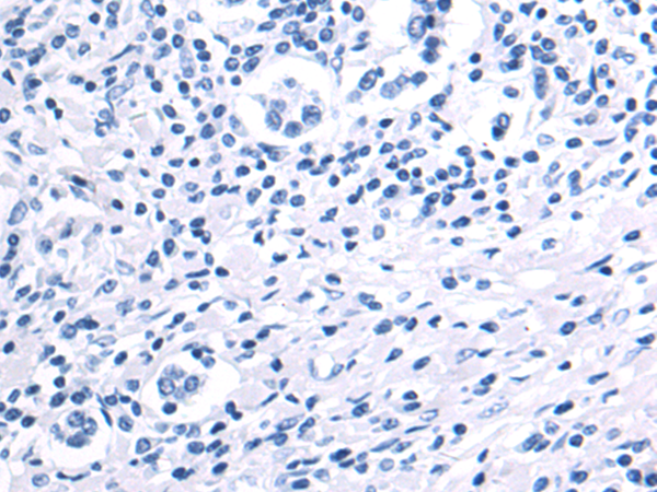
兔抗LCAT多克隆抗体
| 编 号 | 规格 | 库存 | 目录价(¥) | 您的价格(¥) | 数 量 |
| D120916-0025 | 25 ul | 现货 | 500 | 500 | |
| D120916-0100 | 100 ul | 现货 | 1600 | 1600 | |
| D120916-0200 | 200 ul | 现货 | 2500 | 2500 |
产品描述
概述
This gene encodes the extracellular cholesterol esterifying enzyme, lecithin-cholesterol acyltransferase. The esterification of cholesterol is required for cholesterol transport. Mutations in this gene have been found to cause fish-eye disease as well as LCAT deficiency.
应用
酶联免疫吸附测定(ELISA),免疫组织化学(IHC)
属性
| 保存缓冲液 | -20°C, pH7.4 PBS, 0.05% NaN3, 40% Glycerol |
| 运输条件 | 2-8°C |
| 靶点 Uniprot 登记号 | P04180 |
| 靶点基因 ID | 3931 |
| 靶点全称 | lecithin-cholesterol acyltransferase |
| 靶点研究领域 | Metabolism, Cancer, Cardiovascular |
| 亚型 | Immunogen-specific rabbit IgG |
选择结算方或PI
申请授权记录
申请授权
