此商品无价格,无法添加至购物车内,系统已自动发起询价,
询价单号 点击跳转查看 X
询价单号 点击跳转查看 X
Order NO. D122610
兔抗LDHC多克隆抗体
| 编 号 | 规格 | 库存 | 目录价(¥) | 您的价格(¥) | 数 量 |
| D122610-0025 | 25 ul | 现货 | 500 | 500 | |
| D122610-0100 | 100 ul | 现货 | 1600 | 1600 | |
| D122610-0200 | 200 ul | 现货 | 2500 | 2500 |
产品描述
概述
Lactate dehydrogenase C catalyzes the conversion of L-lactate and NAD to pyruvate and NADH in the final step of anaerobic glycolysis. LDHC is testis-specific and belongs to the lactate dehydrogenase family. Two transcript variants have been detected which differ in the 5' untranslated region.
应用
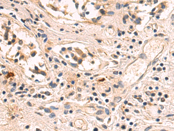
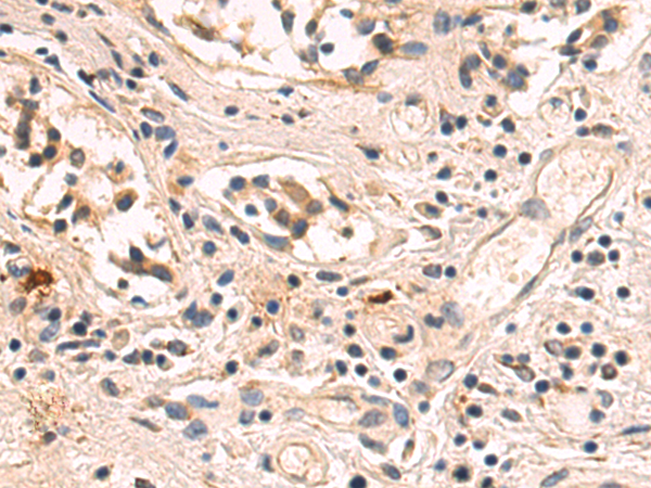
酶联免疫吸附测定(ELISA),免疫印迹(WB),免疫组织化学(IHC)
属性
| 保存缓冲液 | -20°C, pH7.4 PBS, 0.05% NaN3, 40% Glycerol |
| 运输条件 | 2-8°C |
| 靶点 Uniprot 登记号 | P07864 |
| 靶点基因 ID | 3948 |
| 靶点全称 | lactate dehydrogenase C |
| 靶点别名 | CT32; LDH3; LDHX |
| 靶点研究领域 | Metabolism, Cancer |
| 亚型 | Immunogen-specific rabbit IgG |
选择结算方或PI
申请授权记录
申请授权
