询价单号 点击跳转查看 X





编 号 | 规格 | 库存 | 目录价(¥) | 您的价格(¥) | 数 量 |
D155078-0025 | 25 ul | 现货 | 待询价 | 待询价 | |
D155078-0100 | 100 ul | 现货 | 待询价 | 待询价 | |
D155078-0200 | 200 ul | 现货 | 待询价 | 待询价 |
概述
Adducins are a family of cytoskeleton proteins encoded by three genes (alpha, beta, gamma). Adducin is a heterodimeric protein that consists of related subunits, which are produced from distinct genes but share a similar structure. Alpha- and beta-adducin include a protease-resistant N-terminal region and a protease-sensitive, hydrophilic C-terminal region. Alpha- and gamma-adducins are ubiquitously expressed. In contrast, beta-adducin is expressed at high levels in brain and hematopoietic tissues. Adducin binds with high affinity to Ca(2+)/calmodulin and is a substrate for protein kinases A and C. Alternative splicing results in multiple variants encoding distinct isoforms; however, not all variants have been fully described.
应用
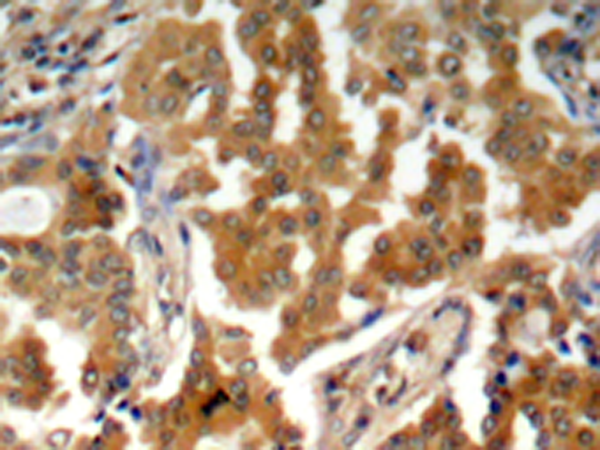
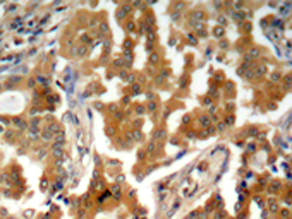
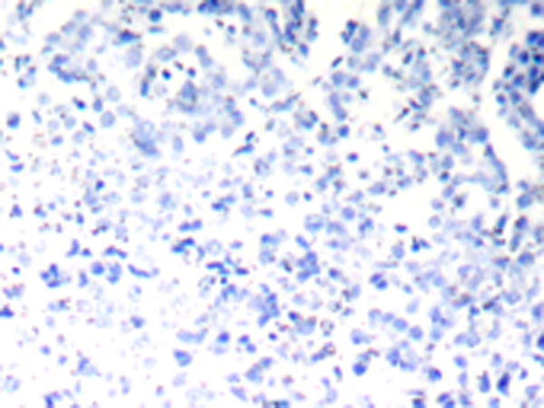
免疫印迹(WB),免疫组织化学(IHC),免疫荧光(IF)
属性
保存缓冲液 | -20°C, pH7.4 PBS, 0.05% NaN3, 40% Glycerol |
运输条件 | 2-8°C |
靶点 Uniprot 登记号 | P35611 |
靶点基因 ID | 118 |
靶点全称 | adducin 1 (alpha) (Phospho-Ser726) |
靶点别名 | ADDA |
靶点研究领域 | Signal Transduction |
亚型 | Immunogen-specific rabbit IgG |

