询价单号 点击跳转查看 X



编 号 | 规格 | 库存 | 目录价(¥) | 您的价格(¥) | 数 量 |
D160963-0025 | 25 ul | 现货 | 待询价 | 待询价 | |
D160963-0100 | 100 ul | 现货 | 待询价 | 待询价 | |
D160963-0200 | 200 ul | 现货 | 待询价 | 待询价 |
概述
Aminopeptidase N is located in the small-intestinal and renal microvillar membrane, and also in other plasma membranes. In the small intestine aminopeptidase N plays a role in the final digestion of peptides generated from hydrolysis of proteins by gastric and pancreatic proteases. Its function in proximal tubular epithelial cells and other cell types is less clear. The large extracellular carboxyterminal domain contains a pentapeptide consensus sequence characteristic of members of the zinc-binding metalloproteinase superfamily. Sequence comparisons with known enzymes of this class showed that CD13 and aminopeptidase N are identical. The latter enzyme was thought to be involved in the metabolism of regulatory peptides by diverse cell types, including small intestinal and renal tubular epithelial cells, macrophages, granulocytes, and synaptic membranes from the CNS.
应用
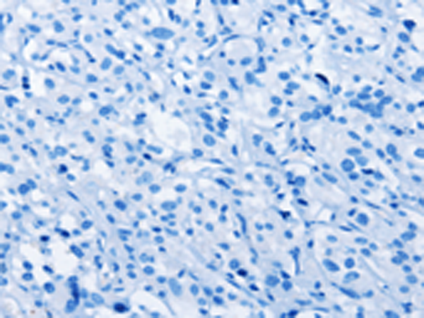
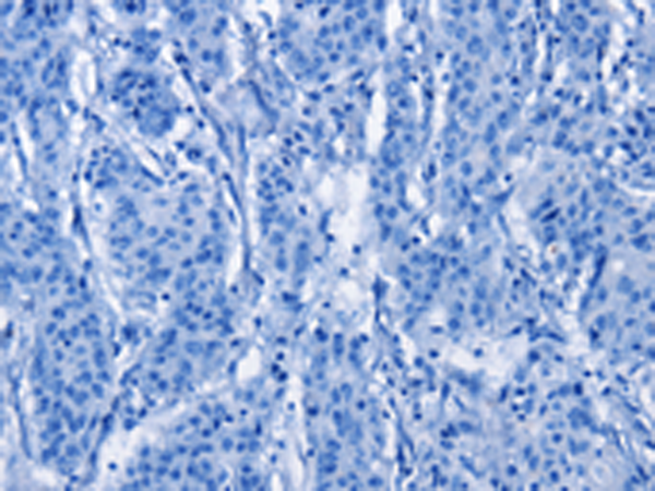
酶联免疫吸附测定(ELISA),免疫组织化学(IHC)
属性
保存缓冲液 | -20°C, pH7.4 PBS, 0.05% NaN3, 40% Glycerol |
运输条件 | 2-8°C |
靶点 Uniprot 登记号 | P15144 |
靶点基因 ID | 290 |
靶点全称 | alanyl (membrane) aminopeptidase |
靶点别名 | APN; CD13; LAP1; P150; PEPN; GP150 |
靶点研究领域 | Immunology, Stem Cells |
亚型 | Immunogen-specific rabbit IgG |

