此商品无价格,无法添加至购物车内,系统已自动发起询价,
询价单号 点击跳转查看 X
询价单号 点击跳转查看 X





Order NO. D163550
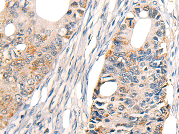
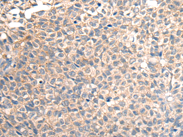
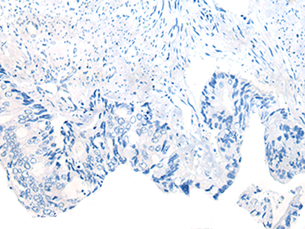
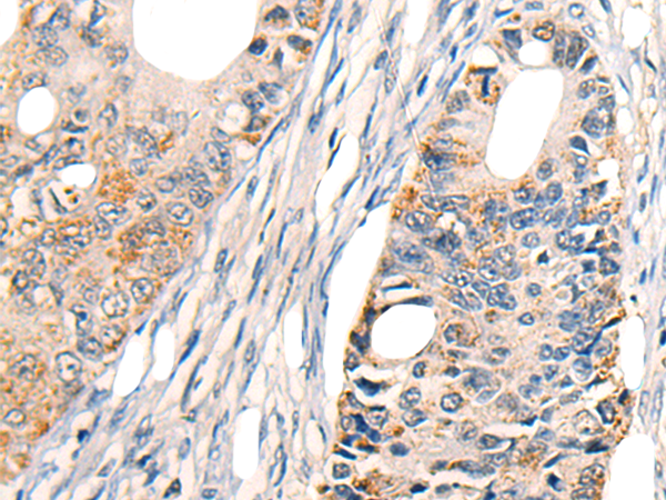
兔抗TNFRSF10D多克隆抗体
编 号 | 规格 | 库存 | 目录价(¥) | 您的价格(¥) | 数 量 |
D163550-0025 | 25 ul | 现货 | 待询价 | 待询价 | |
D163550-0100 | 100 ul | 现货 | 待询价 | 待询价 | |
D163550-0200 | 200 ul | 现货 | 待询价 | 待询价 |
产品描述
概述
The protein encoded by this gene is a member of the TNF-receptor superfamily. This receptor contains an extracellular TRAIL-binding domain, a transmembrane domain, and a truncated cytoplamic death domain. This receptor does not induce apoptosis, and has been shown to play an inhibitory role in TRAIL-induced cell apoptosis.
应用
酶联免疫吸附测定(ELISA),免疫印迹(WB),免疫组织化学(IHC)
属性
保存缓冲液 | -20°C, pH7.4 PBS, 0.05% NaN3, 40% Glycerol |
运输条件 | 2-8°C |
靶点 Uniprot 登记号 | Q9UBN6 |
靶点基因 ID | 8793 |
靶点全称 | TNF receptor superfamily member 10d |
靶点别名 | DCR2; CD264; TRUNDD; TRAILR4; TRAIL-R4 |
靶点研究领域 | Cancer, Immunology |
亚型 | Immunogen-specific rabbit IgG |
选择结算方或PI
申请授权记录
申请授权

