此商品无价格,无法添加至购物车内,系统已自动发起询价,
询价单号 点击跳转查看 X
询价单号 点击跳转查看 X





Order NO. D220991
兔抗MMP15多克隆抗体
编 号 | 规格 | 库存 | 目录价(¥) | 您的价格(¥) | 数 量 |
D220991-0025 | 25 ul | 现货 | 待询价 | 待询价 | |
D220991-0100 | 100 ul | 现货 | 待询价 | 待询价 | |
D220991-0200 | 200 ul | 现货 | 待询价 | 待询价 |
属性
Background: | This gene encodes a member of the peptidase M10 family and membrane-type subfamily of matrix metalloproteinases (MMPs). Proteins in this family are involved in the breakdown of extracellular matrix in normal physiological processes, such as embryonic development, reproduction, and tissue remodeling, as well as in disease processes, such as arthritis and metastasis. Members of this subfamily contain a transmembrane domain suggesting that these proteins are expressed at the cell surface rather than secreted. The encoded preproprotein is proteolytically processed to generate the mature protease. This protein may play a role in cancer progression. [provided by RefSeq, Jan 2016] (The background information is obtained from official databases and does not represent the product information.) |
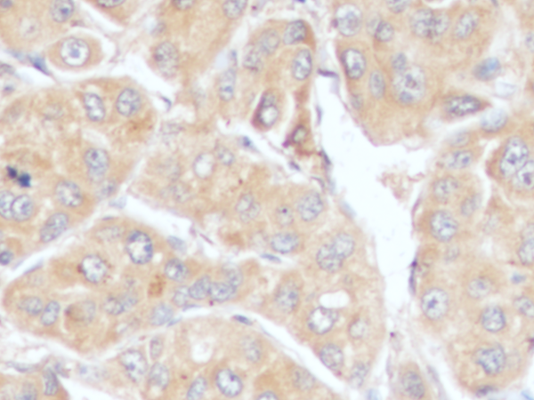
Applications: | ELISA, WB, IHC |
Name of antibody: | MMP15 |
Immunogen: | Recombinant protein of human MMP15 |
Full name: | matrix metallopeptidase 15 |
Synonyms: | MMP-15; MT2MMP; MTMMP2; SMCP-2; MT2-MMP |
SwissProt: | P51511 |
ELISA Recommended dilution: | 5000-10000 |
IHC positive control: | Human liver cancer and Human colorectal cancer |
IHC Recommend dilution: | 50-200 |
WB Predicted band size: | 76 kDa |
WB Positive control: | Mouse liver tissue, Mouse heart tissue lysates |
WB Recommended dilution: | 1000-5000 |
选择结算方或PI
申请授权记录
申请授权

