询价单号 点击跳转查看 X




编 号 | 规格 | 库存 | 目录价(¥) | 您的价格(¥) | 数 量 |
D262960-0025 | 25 ul | 现货 | 待询价 | 待询价 | |
D262960-0100 | 100 ul | 现货 | 待询价 | 待询价 | |
D262960-0200 | 200 ul | 现货 | 待询价 | 待询价 |
概述
This gene is a member of the human ADP-ribosylation factor (ARF) gene family. These genes encode small guanine nucleotide-binding proteins that stimulate the ADP-ribosyltransferase activity of cholera toxin and play a role in vesicular trafficking and as activators of phospholipase D. The gene products include 6 ARF proteins and 11 ARF-like proteins and constitute 1 family of the RAS superfamily. The ARF proteins are categorized as class I (ARF1, ARF2,and ARF3), class II (ARF4 and ARF5) and class III (ARF6). The members of each class share a common gene organization.
应用
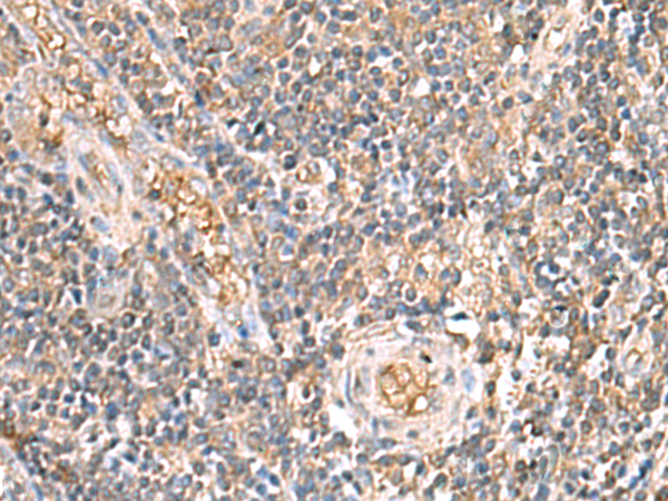
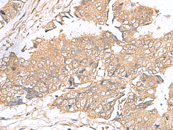
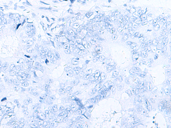
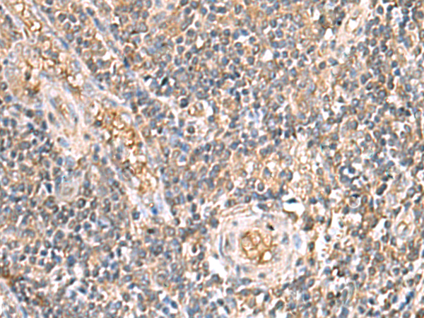
酶联免疫吸附测定(ELISA),免疫组织化学(IHC)
属性
保存缓冲液 | -20°C, pH7.4 PBS, 0.05% NaN3, 40% Glycerol |
运输条件 | 2-8°C |
靶点 Uniprot 登记号 | P84085 |
靶点基因 ID | 381 |
靶点全称 | ADP ribosylation factor 5 |
靶点研究领域 | Signal Transduction |
亚型 | Immunogen-specific rabbit IgG |

